Pyelonephritis is a straightforward attack by a variety of pathogenic microorganisms that cause mucous membrane and tubular renal pelvis , renal interstitial inflammation, infection , discovered in recent years , the presence of bacteria in the kidney scar tissue antigens some of pyelonephritis patients, showed that in the renal pelvis in the pathogenesis of glomerulonephritis , autoimmune renal tissue damage can also be one of the causes of inflammation.
What is the disease pyelonephritis
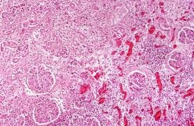
Chronic pyelonephritis is a chronic inflammation of the kidneys caused by a bacterial infection , the disease mainly affects the renal interstitium and renal pelvis, calyx tissue. Due to ongoing or recurrent inflammation leads to interstitial renal damage , renal pelvis, calyx , forming scar , as well as renal atrophy and dysfunction . Usually the patient may only backache and ( or ) fever, urinary tract infections can be no obvious dysuria , urinary frequency and urgency symptoms , and its main nocturia and urine is a small amount of white blood cells and proteins. Patients with long-term or a history of recurrent urinary tract infections can occur in patients with advanced uremia .
What causes pyelonephritis is ?
( 1 ) As the female urethra is short, easy -invasive bacterial infection opportunities, so the incidence of women than men 8 to 10 times.
( 2 ) the presence of E. coli female urethra , sexual intercourse is often a major cause of infection.
( 3 ) an increase in estrogen hormones in pregnant women , ureteral tension reduction, motility , resulting in poor urinary tract , urine reflux higher incidence of urinary tract infections during pregnancy and therefore , the majority of renal benefit nephritis. Kidney nephritis benefit more from ascending infection caused by cystitis , especially bladder removal - ureteral reflux , is a major cause of ascending infection .
( 4 ) Failure to timely cystitis or adequate treatment , about 30 to 50 % of the upstream cause pyelonephritis.
( 5 ) urinary tract obstruction, such as urinary tract stones , tumors, stricture , prostatic hypertrophy and neurogenic bladder , resulting in poor urine flow , reduce topical antimicrobial capability , and increased pressure in favor of infection is pyelonephritis important incentive . Approximately 60% of urinary tract obstruction complicated by pyelonephritis .
( 6 ) renal parenchymal disease , such as glomerulonephritis, renal cysts, tumors and chronic interstitial renal disease . Can kidney dysfunction topical antimicrobial ability , complicated by kidney beneficial nephritis.
( 7 ) systemic factors, such as diabetes, hypertension, hypokalemia long , heart failure and chronic wasting disease in many complicated pyelonephritis . Some scholars believe that , in addition to ascending infection, pyelonephritis also through blood and lymph Road and nearby organs direct infection , there is a certain relationship with immunity .

没有评论:
发表评论